L’utilizzo dell’intelligenza artificiale sta diventando sempre più cruciale nella vita di tutti i giorni e, nonostante Google Assistant, Alexa e i vari assistenti digitali permeano sempre più le nostre vite, la vera rivoluzione sta avvenendo nel mondo della medicina. Qui su TuttoTech abbiamo riportato più volte i risultati di alcune ricerche che, sfruttando l’intelligenza artificiale, hanno permesso di fare un passo in avanti nella diagnostica del cancro al seno, del cancro ai polmoni e di malattie genetiche.
Negli ultimi tre anni, i team di Google hanno applicato l’IA ai problemi dell’assistenza sanitaria, dalla diagnosi delle malattie degli occhi alla previsione dei risultati dei pazienti nelle cartelle cliniche. Google adesso sta condividendo una nuova ricerca che mostra come l’IA può predire il cancro ai polmoni in modi che potrebbero aumentare le possibilità di sopravvivenza per molte persone a rischio in tutto il mondo.
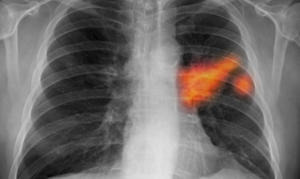
Uno dei killer più “in attività” nel mondo
Il cancro ai polmoni si traduce in oltre 1,7 milioni di decessi all’anno, rendendolo il più mortale di tutti i cancri in tutto il mondo, oltre a quelli del seno, della prostata e del colon-retto, ed è la sesta causa di morte più diffusa a livello mondiale, secondo l’Organizzazione Mondiale della Sanità. Mentre il cancro ai polmoni ha uno dei peggiori tassi di sopravvivenza tra tutti i tumori, gli interventi hanno molto più successo quando il cancro viene diagnosticato precocemente. Sfortunatamente, le statistiche fanno riflettere, perché la stragrande maggioranza dei tumori non viene scoperta fino alle fasi successive (quando i sintomi sono più evidenti).
Alla fine del 2017, Google ha iniziato a esplorare come affrontare alcune di queste sfide usando l’intelligenza artificiale. Utilizzando i progressi della modellazione volumetrica 3D insieme ai set di dati dei partner (inclusa la Northwestern University), hanno compiuto progressi nella modellazione della previsione del cancro del polmone e hanno gettato le basi per futuri test clinici. In queste ore hanno pubblicato delle promettenti scoperte in “Nature Medicine”.
I radiologi di solito guardano attraverso centinaia di immagini 2D all’interno di una singola scansione CT e il cancro può essere minuscolo e difficile da individuare. L’approccio dei ricercatori di Google ha previsto la creazione di un modello che non solo può generare la previsione generale della malignità del cancro ai polmoni (visualizzata in maniera volumetrica 3D), ma anche identificare il sottile tessuto maligno nei polmoni (noduli polmonari). Il modello può anche prendere in considerazione le informazioni delle scansioni precedenti, utili per prevedere il rischio di cancro ai polmoni perché il tasso di crescita di noduli polmonari sospetti può essere indicativo di neoplasie.
Segui Google Italia su Telegram, ricevi news e offerte per primo
I dati delle ricerche

Nella ricerca, sono stati sfruttati 45.656 casi di screening TC individuati dal set di dati dello studio National Lung Screening Trial e dalla Northwestern University. I risultati sono stat davvero impressionanti, visto che hanno rilevato un cinque percento in più di casi di cancro riducendo nel contempo gli esami falsi positivi di oltre l’11 percento rispetto alle tecniche tradizionali dei radiologi. L’approccio ha raggiunto un AUC del 94,4 percento (l’AUC è una comune metrica utilizzata nel machine learning e fornisce una misura aggregata per le prestazioni di classificazione).
Al momento non si parla ancora di applicazione sul campo ma certo è che risultati del genere non fanno altro che portare l’intelligenza artificiale e il machine learning (specie se basato sul cloud) sempre più vicino all’uso effettivo.
I nostri contenuti da non perdere:
- 🔝 Importante: Offerta su Amazon per MacBook Pro con M4: calo di prezzo mai visto per la versione con 16GB di RAM
- 💻 Scegli bene e punta al sodo: ecco le migliori offerte MSI notebook business Black Friday 2025
- 💰 Risparmia sulla tecnologia: segui Prezzi.Tech su Telegram, il miglior canale di offerte
- 🏡 Seguici anche sul canale Telegram Offerte.Casa per sconti su prodotti di largo consumo

