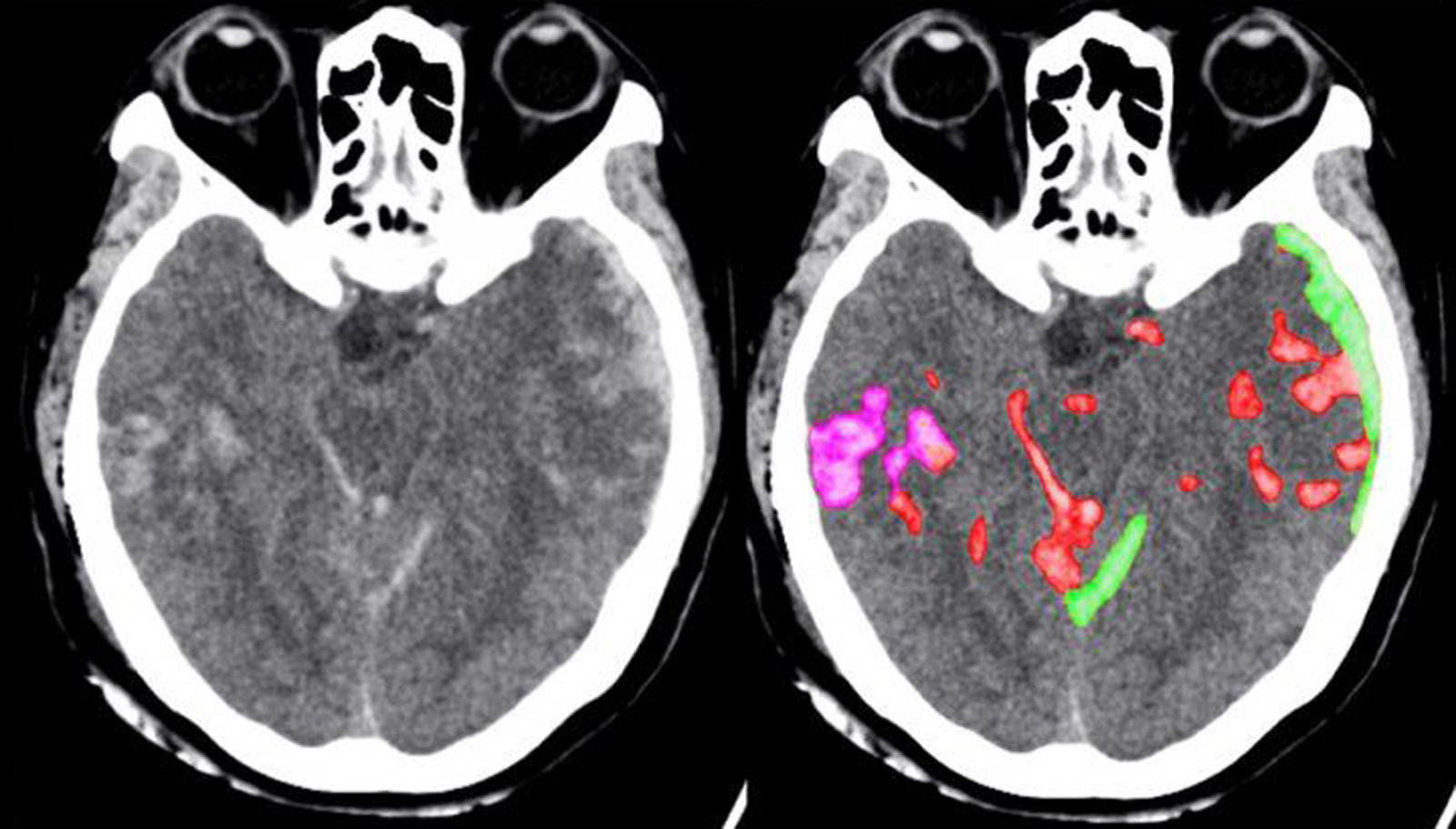
L’intelligenza artificiale può aiutare enormemente la diagnostica di emorragie non immediatamente visibili. È quanto emerso da uno studio congiunto delle università californiane Berkley e San Francisco, le quali hanno creato un algoritmo in grado di rilevare emorragie al cervello con una precisione migliore del 50% dei radiologi sottoposti al test.
In pratica l’intelligenza artificiale è in grado di diagnosticare un’emorragia cerebrale meglio di due dei quattro radiologi che hanno preso parte al test. Questo accade non perché siano medici incompetenti, tutt’altro: l’IA riesce però ad esaminare i risultati della TAC, o Tomografia Assiale Computerizzata, con una precisione che arriva al singolo pixel.
Così l’algoritmo riesce a non farsi distrarre dal rumore digitale o altri falsi positivi, ed il merito è dell’abbondanza di dati che i ricercatori delle due Università hanno “dato in pasto” all’intelligenza artificiale. In totale oltre 4.396 TAC sono state esaminate da una rete neurale convoluzionale, il cui funzionamento è ispirato a processi biologici. Le reti di questo tipo vengono spesso usate per il riconoscimento di immagini e video, in bioinformatica e nell’elaborazione del linguaggio naturale.
Ad esempio, un’intelligenza artificiale che usa una rete neurale di questo tipo è in grado di generare la foto di come verrà una pizza prima ancora che venga cotta. Nel caso della diagnostica di emorragie al cervello tramite intelligenza artificiale, l’IA è stata istruita per esaminare parti singole dell’immagine invece che l’intera TAC, così da ridurre le possibilità di falsi positivi e assunzioni non corrette basate su minuscoli cambiamenti.
Può l’intelligenza artificiale sostituire l’elemento umano nella diagnostica medica? Non ancora. L’algoritmo esamina una TAC e genera un report in un secondo, e può aiutare a scovare differenti tipi di emorragie. Questi risultati però vanno sempre avallati da dottori esperti: solo il lavoro di squadra tra nuovi strumenti e professionisti in carne ed ossa può portare a salvare vite, che in altri scenari potrebbero avere serie complicazioni.
Da tempo Google, ad esempio, si occupa di applicare l’intelligenza artificiale alla Medicina attraverso il suo Medical Brain Team. L’uso dell’IA in medicina già oggi aiuta i dottori a salvare più vite umane, ad esempio tramite il deep learning: analizzando decine di migliaia di dati, i computer possono fornire stime migliori e puntare l’attenzione su dettagli che possono fare la differenza.
I nostri contenuti da non perdere:
- 🔝 Importante: Offerte Amazon | TuttoTech.net
- 🚨 Vuoi un notebook gaming serio senza spendere troppo? MSI Cyborg 15 con RTX 5060 è la risposta
- 💰 Risparmia sulla tecnologia: segui Prezzi.Tech su Telegram, il miglior canale di offerte
- 🏡 Seguici anche sul canale Telegram Offerte.Casa per sconti su prodotti di largo consumo

